Estetska stomatologija je jedna od mlađih grana stomatologije. Dok se ranije uglavnom obraćala pažnja na funkcionalnost zubnih ispuna i protetskih nadoknada, danas je neophodno fokusirati se i na estetski momenat.
Kako su ukusi različiti, tako i u pogledu estetike postoje različitosti ukusa...Stomatologija kao nauka teži ka što prirodnijem izgledu. Modni trendovi sa druge strane diktiraju promenu boje zuba, kako bi sugerisali zdravlje usta i zuba, brigu o njima a čak i društveni status. Zahvaljujuci estetskoj stomatologiji možete dobiti HOLLYWOOD SMILE, osmeh kakav ste oduvek želeli i na taj način sasvim je sigurno da će vas ljudi više primećivati.
U estetetsku stomatologiju spada: izbeljivanje zuba, kompozitni ispuni, kompozitni inleji, keramički inleji, keramičke fasete(viniri), keramičke krune, profesionalno čišćenje zuba, nakit za zube.
Izbeljivanje zuba
Lep osmeh otvara vrata uspeha. Iskoristite potencijal vašeg osmeha. Izbeljivanje zuba je najbrži način za efekat HOLLYWOOD SMILE osmeha.
Beljenje zuba je hemijski proces. Peroksidi u preparatu za beljenje razlažu se na molekule aktivnog kiseonika koji prolaze kroz strukturu zuba.Zbog ovog procesa, čak i ako je samo jedan deo zuba u kontaktu sa preparatom, ceo zub će se izbeliti.
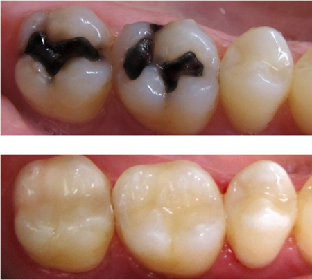
Kompozitni ispuni

Dok se ranije koristio amalgam kao materijal izbora za zubne ispune, danas je kompozit sasvim sigurno favorit. Stalnim usavršavanjem materijala dobijena su svojstva slična zubnom tkivu a odličnih estetskih karakteristika. Njihova veza sa zubnim tkivom je hemijska čime je omogucena maksimalna štednja zubne suptance, odnosno uklanjanje samo defektne zubne suptance-karijesa.
Kompozitni inleji

Po kvalitetu su jedan stepen više od kompozitnih ispuna. Inleji se za razliku od ispuna ne izrađuju direktno u ustima već u zubotehničkoj laboratoriji i nakon toga se cementiraju.
Keramicki inlej - Keramička nadoknada slična plombi, izrađena u zubotehničkoj laboratoriji ili pomoću kompjuterskog sistema, koja se cementira u kavitet prethodno pripremljen na zubu.
Keramičke fasete - Viniri
Viniri kao potpuno keramičke fasete, pružaju mogućnost estetske transformacije osmeha a uz minimalno skidanje tvrdih zubnih tkiva. Indikacije za ovu vrstu nadoknade su brojne, a u uz dobar plan terapije moguće je postići izuzetne estetske rezultate. Prednost ove vrste nadoknada u odnosu na keramičku krunicu je ta što se uklanja (brusi) samo prednji deo zuba. Vinirima se mogu tretirati zubi koji su u lošem položaju, loše boje, neadekvatne veličine, oštećeni velikim karijesom, starim kompozitnim ispunima itd. Uz pravu indikaciju i plan terapije viniri predstavljaju najoptimalnije rešenje za uspešnu estetsku restauraciju prednjih zuba gornje i donje vilice.
Keramičke krune

Visoko estetske nadoknade kojima se postiže potpuna prirodnost u izgledu vašeg osmeha.
Profesionalno čišćenje zuba

Pored svakodnevne kućne nege usta i zuba četkicom, pastom za zube, zubnim koncem i drugim sredstvima, profesionalno čišćenje predstavlja osnovni vid zubne higijene. Bez obzira na trud tokom pranja zuba, nikotin, kafa, čaj, vino i drugi prehrambeni artikli, dovode do prebojenosti zuba koje pacijent ne može sam da ukloni. Profesionalno čišćenje ima za cilj da otkloni zubni kamenac i pigmentacije sa zuba a sa poliranjem i fluorisanjem moguće je dobiti glatku površinu.
U sklopu tretmana uključeno je:
- Uklanjanje kamenca ultrazvučnim aparatom

- Peskiranje zuba
- Poliranje i fluorisanje pastom visoke koncentracije fluorida - glačanje zubnih površina četkicama i pastom visoke koncentracije fluorida koja ojačava zubnu gleđi smanjuje mogućnost pojave karijesa.
Nakit za zube
Nakit za zube, naroČito popularan među mladima, ima sve više poklonika. Najčešće su u pitanju cirkoni, dok su za one koji žele da im osmeh više vredi, na raspolaganju ukrasi od dragog kamenja, zlata i platine.